Why Choose SKN Cosmetics?
- We offer thorough, comprehensive oral exams.
- Our clinic uses the latest digital X-ray technology.
- We provide detailed oral cancer screenings.
- Professional cleaning removes what brushing misses.
- Personalized tips for improving at-home care.
- We identify small problems before they become major.
- Advanced tools for a more comfortable cleaning.
- Emphasis on preventative, long-term dental health.
- Our appointments are designed to be efficient.
- We help maintain a bright and stain-free smile.
- Our clinic has a calm and welcoming atmosphere.
- We monitor gum health for early signs of disease.
- We use intraoral cameras for a clear view.
3rd Floor, Ammar Center, Block # 13-A College Rd F-7 Markaz ISLAMABAD, PAKISTAN.
Teeth are an important part of the personality, and without them, you can’t eat, speak, or smile. Your self-esteem and confidence are also shattered due to your imperfect teeth, and you feel self-conscious and embarrassed, too.
If you are experiencing these kinds of feelings and want to avoid bigger dental problems, then consider Routine Dental check-ups and cleaning in Islamabad.
What are Routine Dental Checkups and Cleaning?
It is really important to make an appointment to consult the dentist every six months for your routine dental checkups and cleaning. It’s also important to brush and floss your teeth twice a day to avoid dental issues.
But some people suffering from diabetes, a weak immune system, and tendencies towards gum disease or cavities should consider Routine Dental check-ups and cleaning in Islamabad.
Objectives of the Routine Dental Checkups and Cleaning:
The following are the aims of Routine Dental Check-ups and Cleaning:
- It will help to keep your teeth clean.
- It will avoid all oral infections and problems.
Who is the Perfect Candidate?
Everyone should visit the dentist for Dental check-ups and cleaning once in a while. But if you have dental problems such as infections and oral diseases, then it’s mandatory for you to consider Routine Dental check-ups and Cleaning in Islamabad.
Which Technique is used?
The dentist at the SKN Clinic will examine your teeth and gums to check the symptoms of tooth decay or gum disease. If you have any oral infection or issue, then the dentist will clean your teeth.
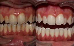
No matter how well you clean, brush, and floss your teeth at home, a professional cleaning, scaling, and polishing will keep your teeth and gums healthy.
How to Prepare for the Checkup and Cleaning?
The following are the guidelines to keep in mind before going for the checkup and cleaning:
- You will have to share your complete medical history.
- Clean your teeth before visiting the dentist for the checkup and cleaning.
Benefits of the Routine Dental Checkups and Cleaning:
The following are the benefits of Routine Dental check-ups and cleaning in Islamabad:
- It’s a non-surgical, painless, or non-invasive procedure.
- There are no side effects, complications, or downtime.
- Routine Dental Check Ups and Cleaning in Islamabad is easy and takes no time at all to finish.
Results of Routine Dental Check Ups and Cleaning:
The following are the results of Routine Dental check-ups and cleaning in Islamabad:
- It will help to keep your teeth safe from germs.
- It will also keep your teeth from disease.
- It will prevent your teeth from infections.
Post-Operative Care:
The following are the post-operative care guidelines:
- You should avoid certain foods and drinks.
- Try to keep your teeth clean to avoid oral infections and diseases.
- The dentist will guide you about the special post-operative care instructions.
Consultation:
If you want to keep your teeth clean, shiny, and white, then feel free to consult SKN Cosmetic Surgery to consider Routine Dental check-ups and Cleaning in Islamabad.





Book your Appointment