Why Choose SKN Cosmetics?
- Specialized in advanced gum treatments.
- Expertise in periodontic surgery.
- Utilizes laser therapy for precision.
- Focus on regenerative procedures.
- Personalized gum health maintenance plans.
- Non-surgical treatment options are available.
- Advanced diagnostics for early detection.
- Emphasis on holistic oral health.
- Gentle and compassionate care.
- Expertise in dental implant placement.
- Offers cosmetic gum treatments.
- Focus on long-term gum stability.
- Comprehensive gum disease risk assessment.
- Dedicated to saving natural teeth.
3rd Floor, Ammar Center, Block # 13-A College Rd F-7 Markaz ISLAMABAD, PAKISTAN.
Periodontic disease is more common in adults as compared to children. If you are also suffering from Periodontics and Gum Disease, then consider the Periodontics and Gum Disease Treatment in Islamabad.
What is Periodontics and Gum Disease Treatment?
The symptom of gum disease is bleeding from your gums while brushing your teeth. This early stage of periodontics is mostly painless and can be treated by improving your oral hygiene.
Gum disease can damage your bone and the soft tissues that surround your teeth. With the passage of time, the bacteria present in our mouth will grow rapidly and can stay between our teeth and gums. It can lead to inflammation, tooth decay, and even tooth loss if you ignore the early symptoms of gum disease.
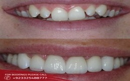
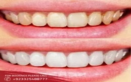
See some of our Best Periodontics and Gum Disease Treatment Results:
Types of Periodontics and Gum Diseases:
The following are the types of Periodontics and Gum Diseases:
- Gingivitis
- Periodontitis
- Advanced periodontitis
Objectives of Periodontics and Gum Disease Treatment in Islamabad:
The following are the aims and objectives of Periodontics and Gum Disease Treatment in Islamabad:
- To treat the gum disease.
- To make you feel normal again.
- To make you confident while smiling.
- To help you eat and drink normally or without pain.
Which Factors lead to Periodontics and Gum Disease?
The following are the factors that are responsible for leading Pto periodontics and Gum Disease:
- Smoking
- Diabetes
- Hereditary predisposition
- Medicines that decrease saliva production.
- Some bacterial strains are aggressive to your gums.
- Hormonal imbalance or changes in women during pregnancy, puberty, and
Who are the Qualified Candidates?
The following are the requirements and conditions to become a qualified candidate to get Periodontics and Gum Disease Treatment in Islamabad:
- If you have gum disease.
- If you want to treat your teeth and gums permanently.
- If you expect realistic results after getting Periodontics and Gum Disease Treatment in Islamabad.
How to prepare for the Periodontics and Gum Disease Treatment?
If you really want to treat your gum disease and periodontics permanently, then before getting the Periodontics and Gum Disease Treatment in Islamabad, you will have to quit smoking.
You also have to stop the intake of aspirin and blood thinners for better results and a quicker healing process.
How to Combat Periodontics and Gum Disease:
The dentists at SKN Cosmetics have always used advanced techniques to perform Periodontics and Gum Disease Treatment.
The dentists recommend good oral hygiene and improved dietary habits to combat Periodontics and Gum Disease.
The procedure is used to Treat Periodontics and Gum Disease.
Periodontal laser therapy is used to treat Periodontics and Gum Disease. It’s a minimally invasive procedure, which involves 3 steps to suppress your gum disease and prevent the need for surgery.
The Procedure of Periodontics and Gum Disease Treatment in Islamabad:
The dentists use innovative waterless or hard tissue laser technology to remove your diseased epithelial lining from the periodontal pocket and the calculus from your root surface. And in the end, the dentist will seal your pocket with a stable fibrin clot.
Post-Operative Care of Periodontics and Gum Disease Treatment:
If you carefully follow the dentist’s post-operative care guidelines, like avoiding certain foods and drinks for some time and taking the prescribed medications on time, then you will be able to recover in less time.
Advantages of Periodontics and Gum Disease Treatment in Islamabad:
The following are the benefits of Periodontics and Gum Disease Treatment in Islamabad:
- The Periodontics and Gum Disease Treatment is quick.
- You will be able to get accurate and natural results.
- Your results will be guaranteed and permanent.
- Periodontics and Gum Disease Treatment in Islamabad doesn’t involve surgical steps.
- There will be no side effects, complications, or allergic reactions.
Consultation:
If you have gum disease or periodontics and want a permanent treatment, then feel free to consult the SKN Cosmetic Clinic to consider Periodontics and Gum Disease Treatment in Islamabad.





Book your Appointment