Why choose SKN Cosmetics for Dental Veneers in Islamabad?
- 6+ Years of Expertise: Our cosmetic dentists specialise in aesthetic smile design, offering natural-looking veneer results with advanced bonding techniques.
- Single Session Availability: Treatment typically requires 1–2 appointments only.
- Highly Qualified Dentist: Performed by Dr Usama Hayat Ghauri (BDS, Dalian Medical University, China), ensuring precision, balance, and harmony with facial aesthetics.
- Premium Material Options: Choose from porcelain, composite, or lithium disilicate veneers depending on your needs.
- Minimally Invasive & Cost-Effective: Comfortable procedure with minimal enamel removal, offered at an affordable price ranging from 19,999 PKR to 59,999 PKR.
- Long-Lasting Results: With proper oral care, veneers can last 7 to 15+ years.
- No Downtime: Resume your daily activities immediately after bonding.
Dr Usama Hayat Ghauri | Crafting Naturally Beautiful Smiles
Dr Usama Hayat Ghauri is a renowned Cosmetic Dental Specialist at SKN Cosmetics, Islamabad, known for his artistry in smile makeovers and veneer refinement. With over 6 years of clinical practice, he provides perfectly contoured, lifelike veneer outcomes.
His approach focuses on:
- Natural translucency
- Symmetry
- Minimal tooth reduction
- Safe bonding techniques
Whether you’re dealing with stains, chips, gaps, or asymmetry, Dr Usama tailors each veneer to elevate your smile aesthetics comfortably and safely.
Are Dental Imperfections Affecting Your Confidence
Minor dental flaws can substantially influence. Dental Veneers in Islamabad are an incredibly popular cosmetic solution that corrects visible imperfections with the aid of placing thin, customised shells over the enamel.
What are Dental Veneers?
Dental veneers are ultra-thin, teeth-colored shells crafted from porcelain or composite resin, which can be carefully bonded to the front surface of a tooth. They cope with:
- Discolouration
- Chipping
- Gaps
- Minor misalignment
- Worn edges
Those veneers create a straighter, brighter, and more symmetrical smile.
Aim of Dental Veneers
Dental veneers’ goal is to:
- Enhance teeth colour, symmetry, and duration
- Enhance smile harmony
- cover chips and cracks
- protect weakened teeth
- Increase self-confidence with long-term smile refinement
Types of Dental Veneers to be had in Islamabad
| Type | Description |
| Porcelain Veneers | Durable, stain-resistant, natural translucency, 10–15 year lifespan |
| Composite Veneers | Budget-friendly, same-day application, repairable |
| No-Prep Veneers | Minimal enamel removal, ideal for sensitive teeth |
| E-Max Veneers | High-strength lithium disilicate porcelain with superior aesthetics |
Porcelain Veneers vs. Composite Veneers
| Porcelain veneers Islamabad | Composite Veneers |
| Highly durable | Less durable |
| Stain-resistant | Prone to stains |
| Lasts 10–15+ years | Lasts 4–7 years |
| Natural translucency | Slightly opaque |
| Requires lab fabrication | Applied directly |
Durable dental veneers Islamabad
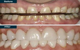
After receiving dental veneers, patients can assume an extraordinarily whiter and more polished smile nearly right away. The remedy enhances the overall form, contour, and alignment of the tooth, developing a great, balanced, and harmonious look. Dental veneers correctly lessen the visibility of small gaps, chips, and different cosmetic imperfections, resulting in a smoother and more uniform smile.
Due to the obviously translucent homes of ceramic substances, veneers combination seamlessly blends with surrounding enamel, supplying enormously sensitive and aesthetically beautiful outcomes. Most patients want those enhancements right away, taking part in instantaneous enhancement in both look and self-belief.
How long do Dental Veneers last?
With the right hygiene and renovation, veneers usually final:
- Porcelain: 10–15 years
- Composite: 4–7 years
Durability relies upon:
- Oral hygiene
- nutritional staining behaviour
- nightly grinding protection
Benefits of Long-lasting Veneers Islamabad
- Fixes the broken teeth.
- Advanced cosmetic improvement
- minimal enamel reduction
- notably stain-resistant
- Biocompatible with gum tissues
- Quick and painless procedure
- Customised colour, shape, and size
- instant self-assurance raises
- relaxed sense with natural aesthetics
Best candidates for Dental Veneers in Islamabad
You could qualify if you have:
- Stained or yellowed enamel
- Minor crowding
- Small gaps
- Chipped, cracked, or worn teeth
- mild misalignment
- Veneers for uneven teeth Islamabad
- Healthy gums
Alternatives to Dental Veneers
If veneers aren’t appropriate, you may take into account:
- Teeth Whitening
- Dental Bonding
- Orthodontics (Braces/ Invisalign)
- Dental Crowns
How do Veneers work?
Dental veneers feature through-bonding of a thin ceramic/composite layer to the teeth’s front surface, improving appearance without full-insurance crowns. The result is an extra symmetrical, brighter, and youthful smile.
Instructions to follow before veneers:
Once you have decided to undergo the Dental veneer smile correction Islamabad, you need to arrange a consultation session with the professional for a detailed discussion regarding your concerns with the orthodontist.
After the consultation is held, a list of pre-care instructions is provided at our facility to undergo the safe Dental veneer reshaping in Islamabad, which involves;
- hold brushing & flossing routine
- Treat gum infections or cavities
- restrict caffeine intake
- speak colour and shape alternatives
- Tell the dentist approximately clenching/grinding habits
- Go through dental X-rays if desired
Dental Veneer Procedure Islamabad
- Treatment Duration: 1–2 visits over 7–14 days
1. Consultation & Smile design
The detailed & thorough consultation session is conducted between the orthodontist & the professional. During the consultation session, the professional carries out a complete in-depth assessment of your teeth.
2: Conducting Imaging tests
Different imaging tests are conducted for a detailed & precise overview.
3: Preparation
Before beginning the procedure, the professional cleans the teeth thoroughly.
4: Selecting the resin shade
After cleaning the teeth thoroughly, the professional selects the resin shade according to the colour of the recipient’s teeth.
5: Tooth Etching
The orthodontist then applies the acid gel, which turns the frontal surface of the teeth rough, which is then followed by application of the liquid bonding agent.
6: Veneer Application
Soft resin is then applied to the teeth, which is then followed by sculpting the resin through utilising the advanced & top-notch technologies & tools.
Care instructions for Non-invasive smile makeover Islamabad
To extend the veneer’s existence:
- Brush twice daily the use of soft-bristle brushes
- Use non-abrasive toothpaste
- Keep away from biting ice, pens, or nuts
- restriction of dark drinks (tea, coffee, cola)
- Put on a nightguard in case you grind tooth
- Attend dental visits every 6 months
- Brief sensitivity can also arise, however fades quickly.
Healing Timeline
| Phase | Timeframe | What to Expect |
| Initial Adjustment | 1–2 weeks | Mild sensitivity & speech adaptation |
| Functional Comfort | 2–4 weeks | Chewing feels natural |
| Optimal Aesthetics | 1–3 months | Gum integration & shine stabilise |
| Longevity | 7–15+ years | With excellent oral care |
Side effects
- temporary sensitivity
- Gum edition pain
- rare veneer chipping
- long-term substitute requirement
These risks are minimal when applied via a certified dentist.
Teeth veneers cost Islamabad
The Dental Veneers cost in Islamabad, Pakistan, ranges from 19,999 PKR to 59,999 PKR. The price mentioned here is not always the same & usually fluctuates depending on various factors. Thus, the real cost will be decided at the initial meeting with the Best cosmetic dentist Islamabad.
Type-Based Veneer Pricing in Islamabad:
| Veneer type | Cost of Veneers |
| Composite Veneers | 19,999 PKR – 39,999 PKR |
| Porcelain Veneers | 19,999 PKR – 39,999 PKR |
| E-max Veneers | 24,999 PKR – 49,999 PKR |
| Non-prep Veneers | 24,999 PKR – 59,999 PKR |
Veneers cost by Number of Teeth:
| No of Veneers | Initial Price of Veneers | Maximum Price |
| 2 – 4 veneers | 49,999 PKR | 1,49,999 PKR |
| 6 veneers on the front teeth | 1,19,999 PKR | 2,49,999 PKR |
| 10 – 12 veneers | 2,49,999 PKR | 4,99,999 PKR |
| 16 – 20 veneers | 4,49,999 PKR | 7,99,999 PKR |
Veneers cost by Material Utilised:
| Type of material | Initial cost in PKR | Maximum Cost in PKR |
| Standard Microhybrid | 9999 PKR | 19,999 PKR per tooth |
| Nanohybrid | 999 PKR | 24,999 PKR per tooth |
| Premium Supra-Nano | 24,999 PKR | 49,999 PKR per tooth |
Factors of cost
- variety of veneers
- material type
- Lab customization
- Smile complexity
- Pre-remedies required
Book Your Smile Transformation these days!
Dental Veneers in Islamabad are the quickest way to enhance your smile, cover flaws, and raise confidence. SKN Cosmetics clinic can provide natural, flawless aesthetic outcomes for those final years.
Rediscover confidence with beautiful, precisely contoured, radiant veneers, and smile without hesitation!
FAQ’s








Book your Appointment